Impianti in Zirconia – completamente senza metallo

L’alternativa senza metalli!
Biocompatibili - estetici – “bianchi”

Quando si perdono dei denti, oggi c’è la possibilità di sostituirli con denti fissi su impianti. A partire dagli anni Sessanta dello scorso secolo, il principale materiale usato per gli impianti è il titanio. Questo metallo è praticamente anallergico. Con gli anni, tuttavia, si sono manifestati alcuni casi di intolleranza. Si pensa che questi possano essere dovuti alle particelle di titanio, che corrodendosi si diffondono nei tessuti circostanti. A seconda della predisposizione del paziente, possono insorgere infiammazioni che, nel peggior caso, possono comportare la perdita dell’impianto inclusa la corona. La “sensibilità” del singolo paziente al titanio può essere verificata tramite un test di laboratorio. Idealmente andrebbe fatto prima dell’inserzione dell’impianto oppure, nel caso di impianti esistenti e infiammazioni in atto, anche dopo.

Dall’inizio del nuovo millennio, in alternativa al titanio viene usato l’ossido di zirconio, un materiale ceramico. Questo è biocompatibile, poiché non è soggetto a corrosione ed è particolarmente rispettoso della gengiva, che deve garantire la “sigillatura” con l’osso sottostante. La superficie liscia limita fortemente l’adesione della placca batterica. Grazie al colore bianco molto simile al dente stesso, la zirconia assicura un’ottima estetica, non essendoci ombre scure sul bordo vicino alla gengiva. Pertanto la zirconia è particolarmente indicata per i denti anteriori nella zona estetica ed è la scelta ideale per chi desidera una protesi dentaria completamente senza metallo.

All'articolo su Dr. Gernot Obermair su Patent™ (en)

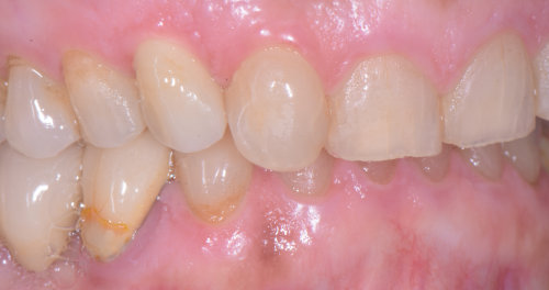
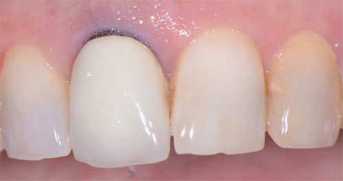
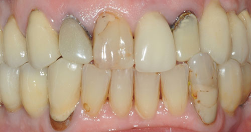
Radice scura del dente con corona e gengiva scolorita

Prima:
Radice scura del dente con corona e gengiva scolorita

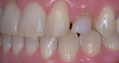
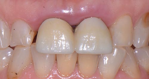
Impianto in zirconia

Impianto in zirconia
con metodo minimo invasivo

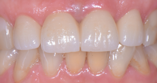
Impianto dentario in zirconia con corona e gengiva rosa

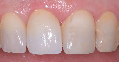
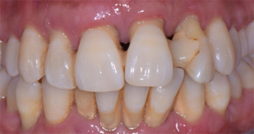
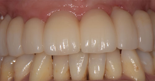
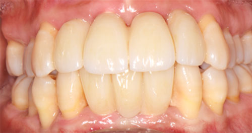
Dopo:
Impianto dentario in zirconia con corona e gengiva rosa

L’alternativa esente da metallo!

L’alternativa esente da metallo!
Biocompatibile - estetico – “bianco”

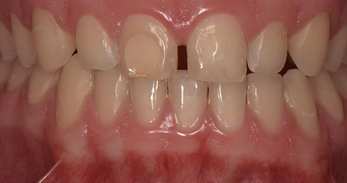
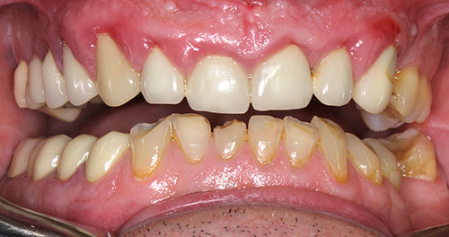
Prima

Prima

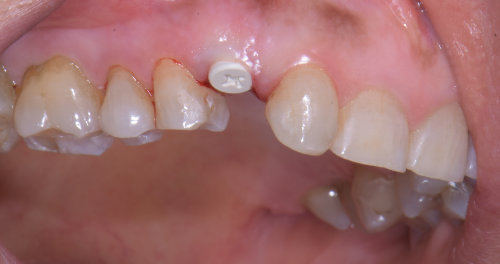
Impianto in zirconia

Impianto in zirconia

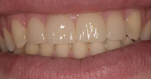
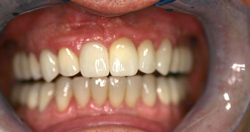
Dopo

Dopo

 
Prima

Prima

Impianto in zirconia

Impianto in zirconia

Dopo

Dopo

 
Vorher

Prima

Implantat aus Zirkonkeramik

Dopo

 
 
Prima

Prima

Dopo

Dopo

 
 
Prima

Prima

Dopo

Dopo

 
 
Prima

Prima

Dopo

Dopo

 
 
Prima

Prima

Dopo

Dopo

 
 
Prima

Prima

Dopo

Dopo

 
 

IMPIANTI DENTALI in ossido di zirconio!

L’alternativa senza metallo!

Intervista con Dr. med. dent. Gernot Obermair